Tibb Universitetinin mütəxəssisləri bir ilkə imza atıblar
1.8.2017

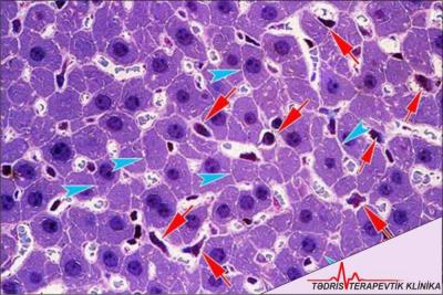
Azərbaycan Tibb Universitetinin (ATU) histologiya kafedrasının müdiri, professor Eldar Qasımov və III Cərrahi xəstəliklər kafedrasının əməkdaşları tibdə bir ilkə imza atıblar.

ATU-nun mətbuat xidmətindən bildiriblər ki, onlar N-metilqlyukamin (meqllyumin) və kəhrəba turşusu tərkibli dərman preparatının qaraciyərdə baş verə biləcək dəyişiklikləri ən azı üç gün ərzində aradan qaldırdığını aşkar ediblər.

E. Qasımovun sözlərinə görə, bu tərkibli dərman vasitəsi başqa xəstəliklərdə də istifadə olunurdu. Professor deyib: “Bu preparatın həm mexaniki sarılıq zamanı çox təsirli vasitə olduğunu aşkar etdik ki, bu da tibdə bir yenilikdir. Öd yollarının öd daşları vasitəsilə tutulması və ya əsasən mədəaltı vəzinin (pankreasın) başında olan bəd xassəli şiş kütləsinin ümumi öd axacağını sıxması nəticəsində meydana çıxır. Yaranan öd durğunluğu zamanı qaraciyər hüceyrələrində bərpası mümkün olmayan dəyişikliklərin baş verməməsi üçün müxtəlif dərmanlardan istifadə olunur. Əməkdaşlarımız tərəfindən heyvanlarda, çox zaman ağ siçovullarda ümumi öd axacağını bağlamaqla mexaniki sarılıq modeli yaradıldı və istifadə olunacaq dərmanların təsiri öyrənilib. Beləliklə, mexaniki sarılıq modeli yaradılmış heyvanlarda N-metilqlyukamin (meqllyumin) və kəhrəba turşusu tərkibli dərmanın təsiri nəticəsində qaraciyərdə baş verə biləcək dəyişiklikləri ən azı üç gün ərzində aradan qaldırmağın mümkün olduğu müəyyən edilib. İlk olaraq, qeyd edilən tərkibli dərmanın təsirindən qaraciyərdə yerləşən makrofaqların, yəni Kupfer hüceyrələrinin saylarının və funksional aktivliklərinin artması nəticəsində qanın toksiki maddələrdən və hüceyrə qırıntılarından təmizləndiyi aşkar edilib. Bundan başqa, qaraciyər hüceyrələri arasında sıx əlaqələrin açılması ödün bilavasitə ümumi qan dövranına daxil olmasına səbəb olduğunu şahidi olduq. Nəticədə ödün qatılığının azalması səbəbindən onun toksiki təsirinin aşağı düşməsi ilə yanaşı, öd məhsullarının böyrəklər və tər vasitəsilə hissələrlə orqanizmdən kənarlaşdırıldığından qaraciyər hüceyrələrini kəskin zədələnmədən qorunduğunu müəyyən edilib”.

azertag.az